missing translation for 'onlineSavingsMsg'
Learn More
Learn More
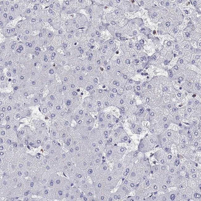
Invitrogen™ ABCG4 Polyclonal Antibody

Descripción
Gently mix before use. Optimal concentrations and conditions for each application should be determined by the user. Immunogen sequence: MAEKALEAVG CGLGPGAVAM AVTLEDGAEP PVLTTHLKKV ENHITEAQRF SH Highest antigen sequence indentity to the following orthologs: Rat - 98%, Mouse - 100%.
The ABCG4 gene encodes the ATP-binding cassette sub-family G member 4, a protein that is part of the ABC transporter family involved in the transport of various molecules across cellular membranes. ABC transporters play essential roles in lipid transport, drug resistance, and the maintenance of cellular homeostasis. ABCG4, specifically, is known to be involved in the transport of cholesterol and other lipids, influencing lipid homeostasis and potentially impacting processes such as cholesterol efflux and cellular lipid balance. This protein is expressed in specific tissues, including the brain and retina, indicating its role in neuronal lipid metabolism and health. While its exact physiological functions are still being elucidated, alterations in ABCG4 expression or function may be implicated in lipid-related disorders and neurodegenerative diseases, where lipid metabolism plays a crucial part. Research into ABCG4 focuses on understanding its transport mechanisms and potential contributions to pathological states, aiming to develop targeted therapies that address imbalances in lipid and cholesterol metabolism.
Especificaciones
Especificaciones
| Antígeno | ABCG4 |
| Aplicaciones | Immunohistochemistry (Paraffin) |
| Clasificación | Polyclonal |
| Concentración | 0.1 mg/mL |
| Conjugado | Unconjugated |
| Formulación | PBS with 40% glycerol and 0.02% sodium azide; pH 7.2 |
| génica | Abcg4 |
| N.º de referencia del gen | Q9H172 |
| Alias de gen | 6430517O04Rik; ABCG4; ATP binding cassette subfamily G member 4; ATP-binding cassette sub-family G member 4; ATP-binding cassette, subfamily G (WHITE), member 4; ATP-binding cassette, sub-family G (WHITE), member 4; putative ABC transporter; WHITE2 |
| Símbolos de los genes | Abcg4 |
| Mostrar más |
Título del producto
Al hacer clic en Enviar, acepta que Fisher Scientific se ponga en contacto con usted en relación con los comentarios que ha proporcionado en este formulario. No compartiremos su información para ningún otro fin. Toda la información de contacto proporcionada se mantendrá de acuerdo con nuestra Política de Privacidad. Política de privacidad.
¿Detecta una oportunidad de mejora?