missing translation for 'onlineSavingsMsg'
Learn More
Learn More
Descripción
Immunogen sequence: LTLGITRILE SSPGVTEVTI IEKPPAECHM ISSWEQKNNC VMPEDVKNFY LMTNGFHMTW SVKLDEHIIP LGSMAINSIS K Highest antigen sequence identity to the following orthologs: Mouse - 91%, Rat - 89%.
This gene encodes a protein that is a component of the neuronal polyglutamylase complex, which plays a role in post-translational addition of glutamate residues to C-terminal tubulin tails. Alternatively spliced transcript variants encoding multiple isoforms have been observed for this gene.
Especificaciones
Especificaciones
| Antígeno | TPGS2 |
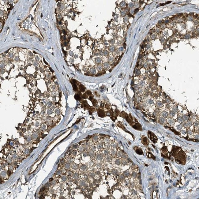
| Aplicaciones | Immunohistochemistry (Paraffin), Western Blot |
| Clasificación | Polyclonal |
| Concentración | 0.3 mg/mL |
| Conjugado | Unconjugated |
| Formulación | PBS with 40% glycerol and 0.02% sodium azide; pH 7.2 |
| génica | TPGS2 |
| N.º de referencia del gen | Q68CL5 |
| Alias de gen | C18orf10; HMFN0601; HsT3006; L17; PGs2; TPGS2; Tubulin polyglutamylase complex subunit 2 |
| Símbolos de los genes | TPGS2 |
| Mostrar más |
Título del producto
Al hacer clic en Enviar, acepta que Fisher Scientific se ponga en contacto con usted en relación con los comentarios que ha proporcionado en este formulario. No compartiremos su información para ningún otro fin. Toda la información de contacto proporcionada se mantendrá de acuerdo con nuestra Política de Privacidad. Política de privacidad.
¿Detecta una oportunidad de mejora?
