Learn More
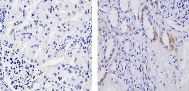
Invitrogen™ Phospho-TSC2 (Ser939) Recombinant Superclonal™ Antibody (23HCLC)
Descripción
This antibody is predicted to react with chimpanzee, equine and non-human primate based on sequence homology. Recombinant rabbit Superclonal™ antibodies are unique offerings from Thermo Fisher Scientific. They are comprised of a selection of multiple different recombinant monoclonal antibodies, providing the best of both worlds - the sensitivity of polyclonal antibodies with the specificity of monoclonal antibodies - all delivered with the consistency only found in a recombinant antibody. While functionally the same as a polyclonal antibody - recognizing multiple epitope sites on the target and producing higher detection sensitivity for low abundance targets - a recombinant rabbit Superclonal™ antibody has a known mixture of light and heavy chains. The exact population can be produced in every lot, circumventing the biological variability typically associated with polyclonal antibody production. Note: Formerly called Recombinant polyclonal antibody, this product is now rebranded as Recombinant Superclonal™ antibody. The physical product and the performance remain unchanged.
Especificaciones
Especificaciones
| Antígeno | Phospho-TSC2 (Ser939) |
| Aplicaciones | Flow Cytometry, Immunohistochemistry (Paraffin), Western Blot, Immunocytochemistry |
| Clasificación | Recombinant Superclonal |
| Clon | 23HCLC |
| Concentración | 0.5 mg/mL |
| Conjugado | Unconjugated |
| Formulación | PBS with 0.09% sodium azide |
| génica | TSC2 |
| N.º de referencia del gen | P49815, Q61037 |
| Alias de gen | LAM; Nafld; OTTHUMP00000198394; PPP1R160; protein phosphatase 1, regulatory subunit 160; Rc; renal carcinoma; Tcs2; Tsc2; TSC4; Tuberin; tuberous sclerosis 2; tuberous sclerosis 2 homolog protein; tuberous sclerosis 2 protein; Tuberous sclerosis 2 protein homolog |
| Mostrar más |
Al hacer clic en Enviar, acepta que Fisher Scientific se ponga en contacto con usted en relación con los comentarios que ha proporcionado en este formulario. No compartiremos su información para ningún otro fin. Toda la información de contacto proporcionada se mantendrá de acuerdo con nuestra Política de Privacidad. Política de privacidad.