missing translation for 'onlineSavingsMsg'
Learn More
Learn More
Invitrogen™ Phospho-TrkB (Tyr706, Tyr707) Polyclonal Antibody

Descripción
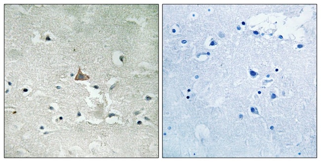
A suggested positive control for IHC is human brain tissue.
NTRK2 (TRKB) belongs to the neurotrophic factor family of related polypeptides central to the development and maintenance of the mammalian nervous system. NTRK2 is the receptor for brain-derived neurotrophic factor (BDNF). Together, NTRK2 and BDNF regulate both short-term synaptic functions and long-term potentiation of brain synapses. TrkB is involved in the development and maintenance of the nervous system. Moreover, Trk B is a tyrosine kinase gene highly related to Trk A. Trk B expression is confined to tissues within the central and peripheral nervous systems. The brain-derived neurotrophic factor (BDNF) and NT-3, but not NGF, can induce rapid phosphorylation on tyrosine of Trk B gp145, one of the receptors encoded by Trk B, although BDNF elicits a response at least two orders of magnitude greater than NT-3. TrkB is a membrane-bound receptor that, upon neurotrophin binding, phosphorylates itself and members of the MAPK pathway. Signaling through TrkB leads to cell differentiation. Mutations in the TrkB gene have been associated with obesity and mood disorders. Alternate transcriptional splice variants encoding different isoforms have been found for the TrkB gene.
Especificaciones
Especificaciones
| Antígeno | Phospho-TrkB (Tyr706, Tyr707) |
| Aplicaciones | Immunohistochemistry (Paraffin) |
| Clasificación | Polyclonal |
| Concentración | 1 mg/mL |
| Conjugado | Unconjugated |
| Formulación | PBS with 50% glycerol and 0.02% sodium azide; pH 7.4 |
| génica | Ntrk2 |
| N.º de referencia del gen | Q16620 |
| Alias de gen | AI848316; BDNF/NT-3 growth factors receptor; BDNF-tropomyosine receptor kinase B; C030027L06Rik; EC 2.7.10.1; GP145 TrkB; GP145TrkB; GP145-TrkB; GP145-TrkB/GP95-TrkB; GP95 TrkB; GP95-TrkB; hyperphagia; kinase TrkB; neural receptor protein-tyrosine kinase (trkB); neurotrophic receptor tyrosine kinase 2; neurotrophic tyrosine kinase receptor type 2; neurotrophic tyrosine kinase, receptor, type 2; neurotrophic tyrosine receptor kinase type 2; NTRK 2; Ntrk2; OTTHUMP00000021573; OTTHUMP00000021574; OTTHUMP00000021576; OTTHUMP00000021577; RATTRKB1; Tkrb; Trk B; TRKB; trk-B; trkB protein; trkB tyrosine kinase; TRKB1; Tropomyosin-related kinase B; tyrosine kinase receptor B |
| Símbolos de los genes | Ntrk2 |
| Mostrar más |
Título del producto
Al hacer clic en Enviar, acepta que Fisher Scientific se ponga en contacto con usted en relación con los comentarios que ha proporcionado en este formulario. No compartiremos su información para ningún otro fin. Toda la información de contacto proporcionada se mantendrá de acuerdo con nuestra Política de Privacidad. Política de privacidad.
¿Detecta una oportunidad de mejora?