missing translation for 'onlineSavingsMsg'
Learn More
Learn More
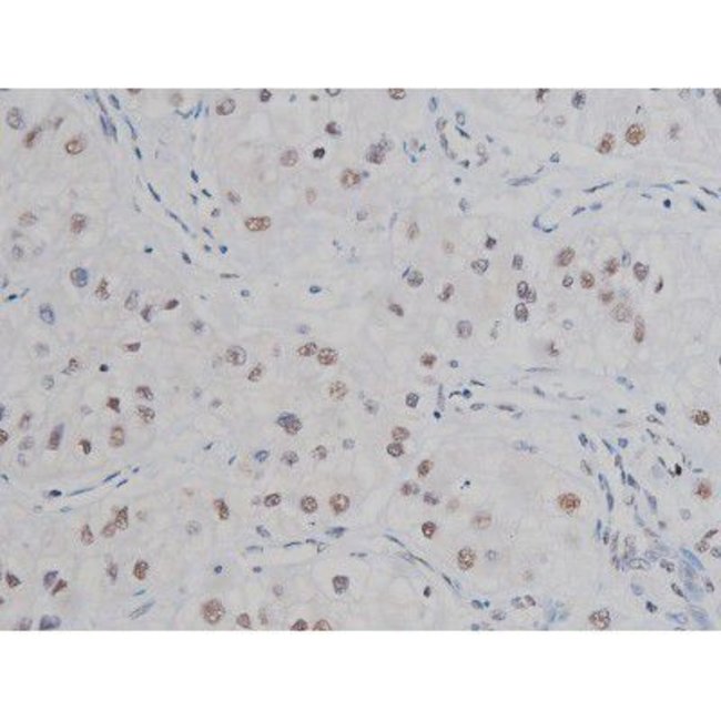
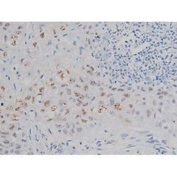
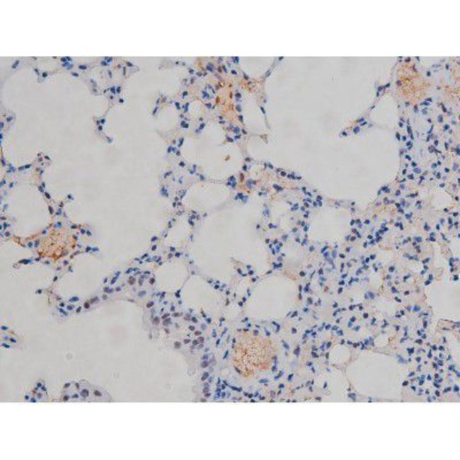
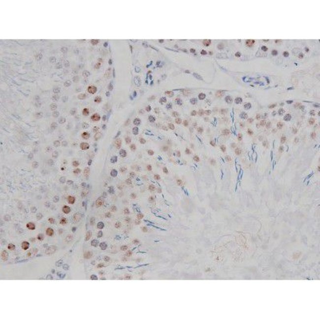
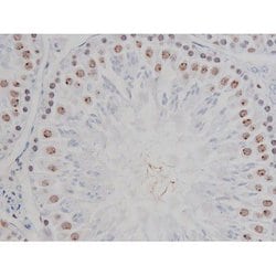
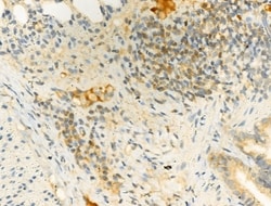
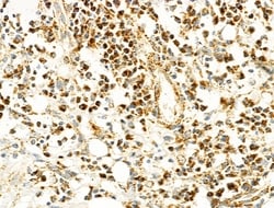
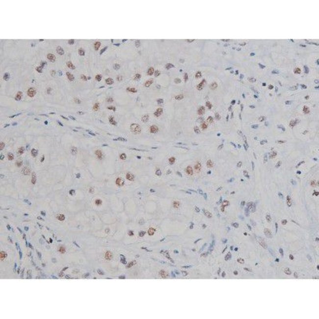
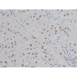
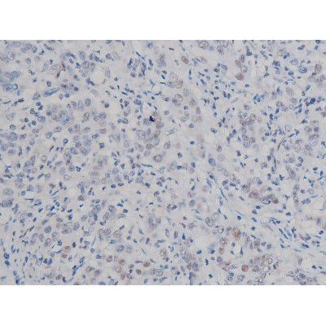
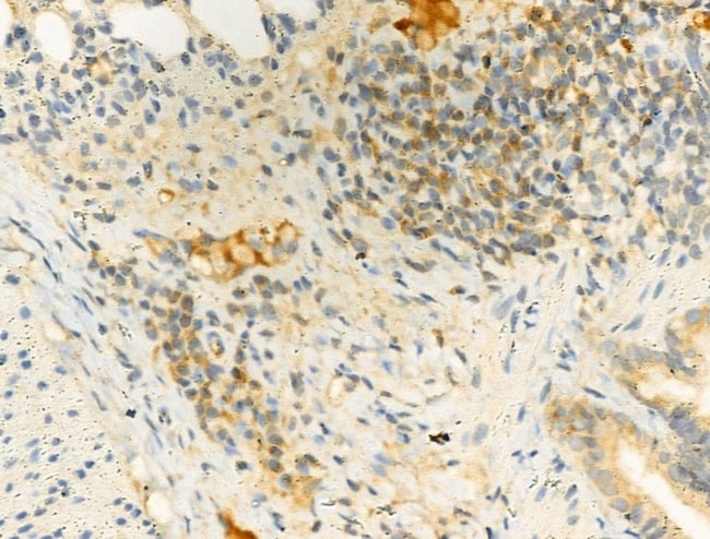
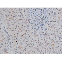
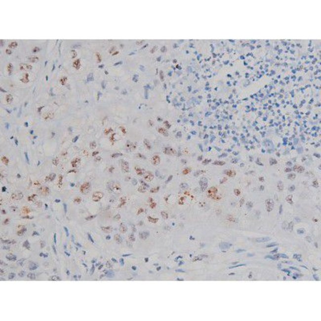
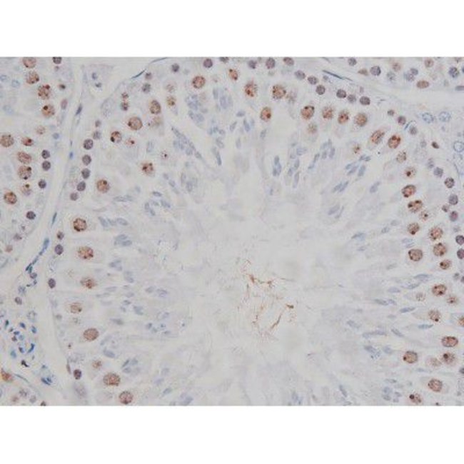
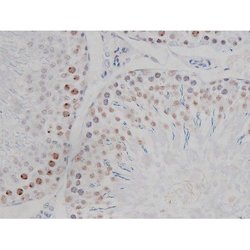
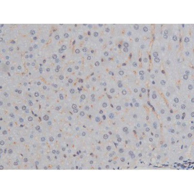
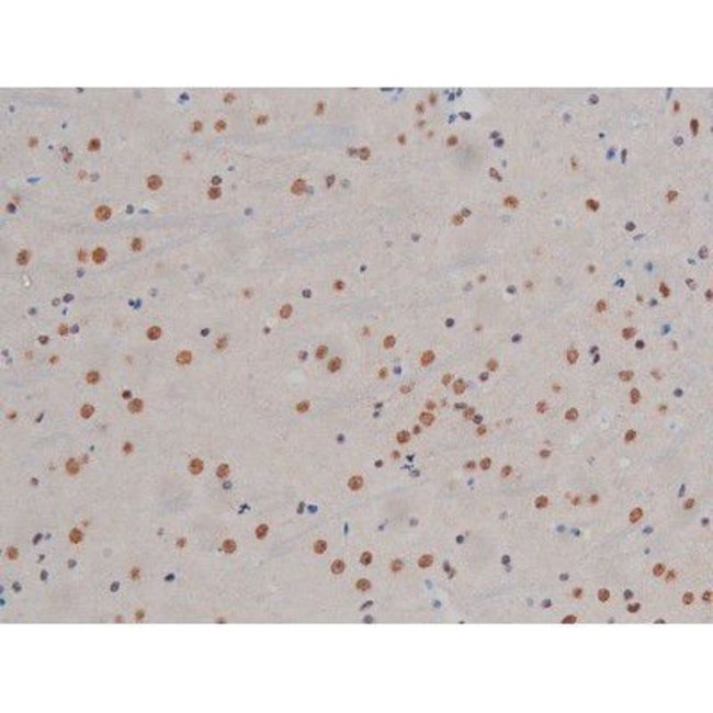
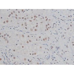
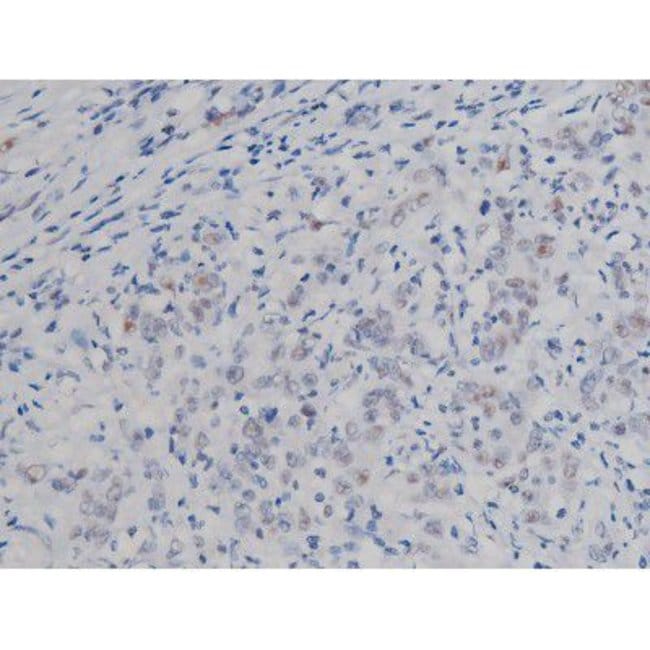
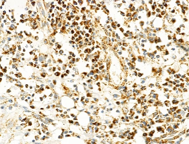
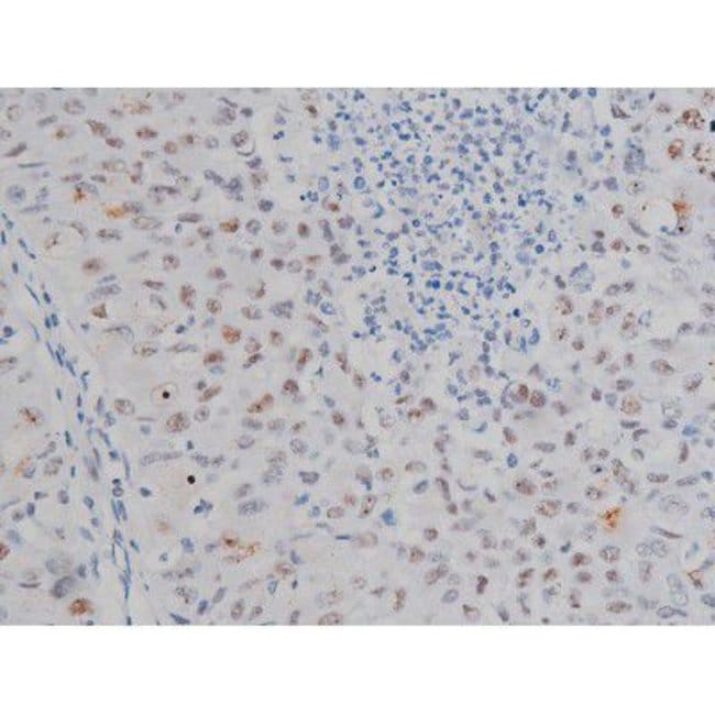
Invitrogen™ Phospho-IKK alpha/beta (Ser180, Ser181) Polyclonal Antibody

Descripción
Antibody detects endogenous levels of IKK alpha/ beta only when phosphorylated at Serine 180/181.
IKK alpha/beta is encoded by CHUK (conserved helix-loop-helix ubiquitous kinase) and IKKB (inhibitor of kappa light polypeptide gene enhancer in B-cells) gene located in chromosome 10 and 8 respectively in humans. Upon stimulation by agents that activate the NF-kB pathway such as TNF alpha, the two subunits of IKK complex, IKK alpha and IKK -beta alongside a regulator NEMO (IKK gamma) phosphorylates IkB proteins. This targets the later for ubiquitin mediated degradation and phosphorylation of NF-kB leading to subsequent translocation to the nucleus. Phosphorylation at serine 176 and 180 located in the activation loop causes a confirmation change that is required for the activation of the kinases.
Especificaciones
Especificaciones
| Antígeno | Phospho-IKK alpha/beta (Ser180, Ser181) |
| Aplicaciones | Immunohistochemistry (Paraffin), Western Blot, Immunocytochemistry |
| Clasificación | Polyclonal |
| Concentración | 1 mg/mL |
| Conjugado | Unconjugated |
| Formulación | PBS with 50% glycerol and 0.02% sodium azide; pH 7.4 |
| génica | CHUK |
| N.º de referencia del gen | O14920, O15111, O88351, Q60680, Q9QY78 |
| Alias de gen | AI132552; AI256658; AIM-1; CHUK; Chuk1; component of inhibitor of nuclear factor kappa B kinase complex; conserved helix-loop-helix ubiquitous kinase; EC 2.7.11.10; Fbx24; Fbxo24; I kappa B kinase 1; i kappa-B kinase alpha; IkappaB kinase; I-kappa-B kinase 1; I-kappa-B kinase 2; IkappaB kinase alpha; I-kappa-B kinase alpha; I-kappa-B kinase-alpha; I-kappa-B-kinase beta; IkB kinase alpha subunit; IkB kinase-alpha; IkB kinase-beta; ikBKA; Ikbkb; IKK alpha; IKK[b]; IKK1; IKK2; IKK-2; IKKA; IKK-A; IKK-a kinase; IKK-alpha; Ikkb; IKK-B; IKKbeta; IKK-beta; IMD15; inhibitor of kappa light polypeptide gene enhancer in B-cells, kinase beta; inhibitor of kappaB kinase beta; inhibitor of nuclear factor kappa B kinase beta subunit; inhibitor of nuclear factor kappa B kinase subunit beta; inhibitor of nuclear factor kappa-B kinase subunit alpha; Inhibitor of nuclear factor kappa-B kinase subunit beta; NFKBIKA; NFKBIKB; Nuclear factor NFkappaB inhibitor kinase alpha; nuclear factor NF-kappa-B inhibitor kinase alpha; Nuclear factor NF-kappa-B inhibitor kinase beta; TCF16; TCF-16; TCF17; Transcription factor 16 |
| Símbolos de los genes | CHUK, Ikbkb |
| Mostrar más |
Título del producto
Al hacer clic en Enviar, acepta que Fisher Scientific se ponga en contacto con usted en relación con los comentarios que ha proporcionado en este formulario. No compartiremos su información para ningún otro fin. Toda la información de contacto proporcionada se mantendrá de acuerdo con nuestra Política de Privacidad. Política de privacidad.
¿Detecta una oportunidad de mejora?