missing translation for 'onlineSavingsMsg'
Learn More
Learn More
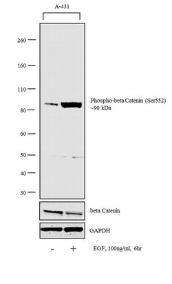
Invitrogen™ Phospho-beta Catenin (Ser552) Polyclonal Antibody

Descripción
It is not recommended to aliquot this antibody.
Beta-catenin, an adherens junction (AJ) protein, was originally identified as a component of cell-cell adhesion structures. AJs are necessary for the creation and maintenance of epithelial cell layers by regulating cell growth and adhesion between cells. Beta-catenin interacts with the cytoplasmic domain of E-cadherin and links E-cadherin to alpha-catenin, which in turn mediates anchorage of the E-cadherin complex to the cortical actin cytoskeleton. Studies show that Beta-catenin also binds to another cytoskeletal complex containing the adenomatous polyposis coli protein and microtubules, and interacts with several signaling pathways that include tyrosine kinases, phosphatases and Wnt/Wingless. The interplay between beta-catenin, cytoskeletal complexes and signaling pathways may regulate morphogenesis. Beta-catenin is expressed in several hair follicle cell types, basal and peripheral matrix cells, and cells of the outer and inner root sheats. A pathological role of beta-catenin has been identified in pilomatrixoma (PTR), medulloblastoma (MDB), colorectal cancer (CRC), ovarian cancer, and tumor development. In the nucleus, beta-catenin serves to co activate a family of Lef/Tcf transcription factors that stimulate transcription of target genes including those encoding cyclin D and c-myc that promote cell proliferation. The influence on cell proliferation is the molecular basis for the role of beta-catenin in tumorgenesis, specifically, solid tumors of the breast, colon, liver, lung, gastric, prostate, and skin.
Especificaciones
Especificaciones
| Antígeno | Phospho-beta Catenin (Ser552) |
| Aplicaciones | Immunoprecipitation, Western Blot |
| Clasificación | Polyclonal |
| Concentración | 32 μg/mL |
| Conjugado | Unconjugated |
| Formulación | 0.01M HEPES with 100μg/mL BSA, 50% glycerol, 0.15M NaCl and no preservative; pH 7.5 |
| génica | CTNNB1 |
| N.º de referencia del gen | P35222, Q02248, Q9WU82 |
| Alias de gen | armadillo; armadillo homolog; Bcatenin; b-catenin; beta 1 88kDa; beta catenin; Betacatenin; beta-catenin; beta-catenin 1; Bfc; C20orf33; Cadherin associated protein; catenin; catenin (cadherin associated protein), beta 1; catenin (cadherin associated protein), beta 1, 88kDa; catenin (cadherin-associated protein) beta 1; catenin (cadherin-associated protein), beta 1; catenin (cadherin-associated protein), beta 1, 88kDa; Catenin b 1; Catenin b1; catenin beta; catenin beta 1; catenin beta 1 L homeolog; Catenin beta1; Catenin beta-1; Catenin ß 1; Catenin ß1; Catnb; CHBCAT; CTNB1; CTNNB; ctnnb1; ctnnb1.L; ctnnb1-a; ctnnb1-b; dJ633O20.1; DKFZp686D02253; FLJ25606; FLJ37923; id:ibd2058; Mesc; MRD19; NAP; NYD-SP19; OK/SW-cl.35; OTTHUMP00000209289; P14L; PP8304; PRO2286; RP5-1118M15.1; wu:fb73e10; wu:fi81c06; wu:fk25h01; XELAEV_18031149mg; ß catenin; ßcatenin |
| Símbolos de los genes | CTNNB1, ctnnb1.L |
| Mostrar más |
Título del producto
Al hacer clic en Enviar, acepta que Fisher Scientific se ponga en contacto con usted en relación con los comentarios que ha proporcionado en este formulario. No compartiremos su información para ningún otro fin. Toda la información de contacto proporcionada se mantendrá de acuerdo con nuestra Política de Privacidad. Política de privacidad.
¿Detecta una oportunidad de mejora?