missing translation for 'onlineSavingsMsg'
Learn More
Learn More
Descripción
Immunogen sequence: LGLAGKTQTA GVEERTKSQK PLPKDKETNR NHSNSDNTET KDPAPQNSNP AEEPRKPQKS GIMKQQRVNP TTANSDLNPG TTQMKDNFDI GEVCPWEVYD LTPGPVPSES KVQKHVSIVA SEMEKNPTFS LKEKSHHKP Highest antigen sequence identity to the following orthologs: Mouse - 71%, Rat - 76%.
Orphan receptor.
Especificaciones
Especificaciones
| Antígeno | GPR158 |
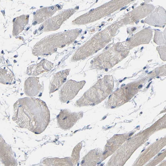
| Aplicaciones | Immunohistochemistry (Paraffin), Western Blot |
| Clasificación | Polyclonal |
| Concentración | 0.1 mg/mL |
| Conjugado | Unconjugated |
| Formulación | PBS with 40% glycerol and 0.02% sodium azide; pH 7.2 |
| génica | GPR158 |
| N.º de referencia del gen | Q5T848 |
| Alias de gen | 5330427M13Rik; G protein-coupled receptor 158; Gpr158; KIAA1136; mKIAA1136; Probable G-protein coupled receptor 158 |
| Símbolos de los genes | GPR158 |
| Mostrar más |
Produkttitel
Genom att klicka på Skicka bekräftar du att du kan bli kontaktad av Fisher Scientific angående feedbacken du har lämnat i detta formulär. Vi kommer inte att dela din information för andra ändamål. All kontaktinformation som tillhandahålls ska också underhållas i enlighet med vår Sekretesspolicy.
Hittar du en möjlighet till förbättring?
