missing translation for 'onlineSavingsMsg'
Learn More
Learn More
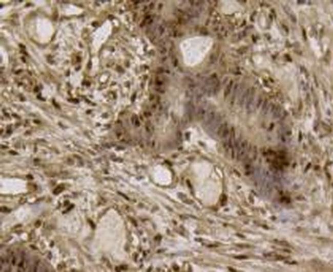
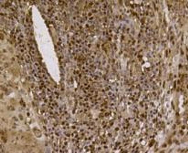
Invitrogen™ EFTUD2 Monoclonal Antibody (1-D10-A1)

Description
EFTUD2 Monoclonal Antibody for Flow, ICC/IF, IHC (P), Western Blot
EFTUD2 is component of the U5 snRNP complex required for pre-mRNA splicing.
Specifications
Specifications
| Antígeno | EFTUD2 |
| Aplicaciones | Flow Cytometry, Immunohistochemistry (Paraffin), Western Blot, Immunocytochemistry, Western Blot |
| Clasificación | Monoclonal |
| Clon | 1-D10-A1 |
| Concentración | 2 mg/mL |
| Conjugado | Unconjugated |
| Formulación | PBS with 40% Glycerol, 0.2% BSA and 0.05% sodium azide; pH 7.4 |
| génica | EFTUD2 |
| N.º de referencia del gen | O08810, Q15029 |
| Alias de gen | 116 kDa U5 small nuclear ribonucleoprotein component; 116kDa; Eftud2; elongation factor Tu GTP binding domain containing 2; elongation factor Tu GTP-binding domain-containing protein 2; hSNU114; KIAA0031; MFDGA; MFDM; SNRNP116; Snrp116; Snu114; SNU114 homolog; U5 small nuclear ribonucleoprotein 116 kDa; U5 snRNP-specific protein, 116 kDa; U5-116 kDa; U5-116KD |
| Show More |
Product Title
Facendo clic su Invia, l'utente riconosce che potrebbe essere contattato da Fisher Scientific in merito al feedback fornito in questo modulo. Non condivideremo le vostre informazioni per altri scopi. Tutte le informazioni di contatto fornite saranno conservate in conformità con la nostra Politica sulla privacy. Informativa sulla privacy.
Individuate un'opportunità di miglioramento?