missing translation for 'onlineSavingsMsg'
Learn More
Learn More
Invitrogen™ CaMKII alpha Polyclonal Antibody

Descripción
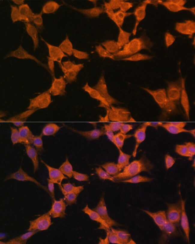
Positive test controls include: 293T, U-87MG, . The target is usually found in the following locations: Cell junction, presynaptic cell membrane, synapse. Immunogen sequence: KGAILTTMLA TRNFSGGKSG GNKKSDGVKE SSESTNTTIE DEDTKVRKQE IIKVTEQLIE AISNGDFESY TKMCDPGMTA FEPEALGNLV EGLDFHRFYF E.
CAMK2A (CaMKII alpha) is a serine/threonine kinase that regulates a number of cellular functions including neuronal processes, gene expression, carbohydrate metabolism, cytoskeletal function, and calcium homeostatsis. Autophosphorylation of threonine 286 in the presence of Ca2+ and calmodulin activates CAMK2A with the ability to switch from calmodulin-dependent to a calmodulin independent activity. CaMKII is an ubiquitously expressed serine/threonine protein kinase that is activated by Ca2+/calmodulin (CaM) binding and autophosphorylation and has been implicated in regulation of the cell cycle and transcription. It is involved in dendritic spine and synapse formation, neuronal plasticity and regulation of sarcoplasmic reticulum Ca2+ transport in skeletal muscle. In neurons, plays an essential structural role in the reorganization of the actin cytoskeleton during plasticity by binding and bundling actin filaments in a kinase-independent manner.
Especificaciones
Especificaciones
| Antígeno | CaMKII alpha |
| Aplicaciones | ELISA, Western Blot, Immunocytochemistry |
| Clasificación | Polyclonal |
| Concentración | 0.9 mg/mL |
| Conjugado | Unconjugated |
| Formulación | PBS with 50% glycerol and 0.05% ProClin 300; pH 7.3 |
| génica | CAMK2A |
| N.º de referencia del gen | P11275, P11798, Q9UQM7 |
| Alias de gen | alpha CaM kinase II; alpha-CaMKII; Ca2+/calmodulin-dependent protein kinase II; Ca2+/calmodulin-dependent protein kinase II alpha; Calci; calcium/calmodulin dependent protein kinase II alpha; calcium/calmodulin-dependent protein kinase (CaM kinase) II alpha; calcium/calmodulin-dependent protein kinase II alpha; calcium/calmodulin-dependent protein kinase II alpha subunit; calcium/calmodulin-dependent protein kinase II alpha-B subunit; calcium/calmodulin-dependent protein kinase type II alpha chain; calcium/calmodulin-dependent protein kinase type II subunit alpha; CaM kinase II alpha subunit; caM kinase II subunit alpha; CaMK II; CAMK2; Camk2a; CAMKA; CaMKII; CaMK-II alpha subunit; caMK-II subunit alpha; CaMKIINalpha; CaM-kinase II alpha chain; EC 2.7.11.17; KIAA0968; mKIAA0968; OTTHUMP00000165787; OTTHUMP00000165788; Phospho-CaMKI; PK2CDD; PKCCD; R74975 |
| Símbolos de los genes | CAMK2A |
| Mostrar más |
Título del producto
Al hacer clic en Enviar, acepta que Fisher Scientific se ponga en contacto con usted en relación con los comentarios que ha proporcionado en este formulario. No compartiremos su información para ningún otro fin. Toda la información de contacto proporcionada se mantendrá de acuerdo con nuestra Política de Privacidad. Política de privacidad.
¿Detecta una oportunidad de mejora?